Der Darm – Zentrum der Gesundheit: Im Pferdedarm leben Billionen von Mikroorganismen, die gemeinsam das Mikrobiom bilden. Diese unsichtbaren Helfer sind unverzichtbar für Verdauung, Immunsystem und sogar das Wohlbefinden Deines Pferdes. In diesem Ratgeber erfährst Du alles über die faszinierende Welt der Darmflora.
80% des Immunsystems befinden sich im Darm – eine gesunde Darmflora ist daher die Basis für ein gesundes Pferd.
Was ist das Mikrobiom?
Das Mikrobiom auf einen Blick
Das Mikrobiom – auch Darmflora genannt – ist die Gesamtheit aller Mikroorganismen, die im Verdauungstrakt Deines Pferdes leben. Dieses komplexe Ökosystem besteht aus Bakterien, Pilzen, Hefen, Viren und anderen Mikroben, die in einer fein abgestimmten Gemeinschaft zusammenleben.
Die Bewohner des Pferdedarms
Im Pferdedarm herrscht eine erstaunliche Vielfalt. Die wichtigsten Bewohner sind:
Bakterien
Die zahlenmäßig größte Gruppe. Sie fermentieren Rohfaser, produzieren kurzkettige Fettsäuren und synthetisieren Vitamine. Wichtige Gruppen: Firmicutes, Bacteroidetes, Fibrobacter.
Pilze & Hefen
Unterstützen den Abbau von Pflanzenfasern und produzieren Enzyme. Sie machen einen kleineren, aber wichtigen Teil des Mikrobioms aus.
Protozoen
Einzellige Organismen, die beim Abbau von Zellulose helfen. Im Dickdarm des Pferdes leben verschiedene Arten von Ciliaten.
Archaeen
Produzieren Methan als Nebenprodukt der Fermentation. Sie spielen eine Rolle im Wasserstoff-Stoffwechsel des Darms.
Wusstest Du?
Das Mikrobiom eines Pferdes ist so individuell wie ein Fingerabdruck! Jedes Pferd hat eine einzigartige Zusammensetzung seiner Darmflora, die von Faktoren wie Genetik, Fütterung, Haltung und Lebensgeschichte beeinflusst wird.
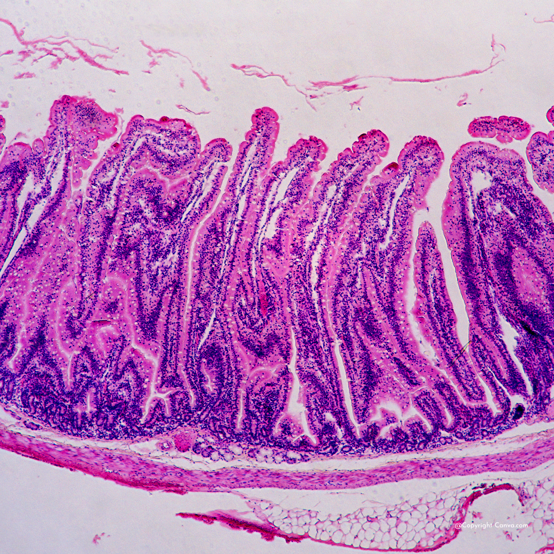
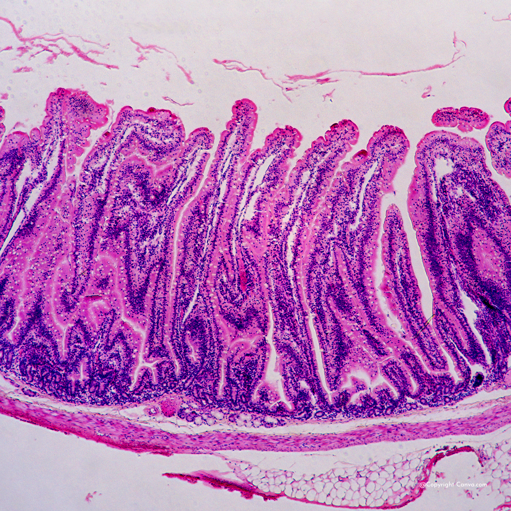
Der Pferdedarm – Ein Fermentationswunder
Der Verdauungstrakt des Pferdes ist ein hochspezialisiertes System, das perfekt an die Verwertung von faserreichem Futter angepasst ist. Mit über 30 Metern Länge bietet er Lebensraum für Billionen von Mikroorganismen.
Die Abschnitte des Pferdedarms
Dünndarm (ca. 20-25 m)
- Enzymatische Verdauung
- Aufnahme von Proteinen, Fetten, Zucker
- Absorption von Vitaminen & Mineralstoffen
- Schnelle Passage (1-2 Stunden)
Dickdarm (ca. 7-8 m)
- Fermentation durch Mikroorganismen
- Abbau von Rohfaser (Zellulose)
- Produktion kurzkettiger Fettsäuren
- Lange Verweildauer (24-48 Stunden)
Der Blinddarm und Grimmdarm sind die "Fermentationskammern" – hier findet die mikrobielle Verdauung statt!
Das Pferd als Dickdarmfermentierer
Anders als Wiederkäuer (Rinder, Schafe), die im Pansen fermentieren, ist das Pferd ein Dickdarmfermentierer. Das bedeutet:
Vorteile
- ✓ Schnelle Aufnahme von leicht verdaulichen Nährstoffen
- ✓ Effiziente Rohfaserverwertung im Dickdarm
- ✓ Flexibilität bei der Futteraufnahme
Herausforderungen
- ⚠ Empfindliches mikrobielles Gleichgewicht
- ⚠ Anfällig für Fehlgärungen
- ⚠ Langsame Anpassung an Futterumstellungen
Die Bedeutung von Raufutter
Raufutter ist die Basis! Das Mikrobiom des Pferdes hat sich über Millionen Jahre an die Verdauung von Gräsern und Kräutern angepasst. Heu und Gras sollten mindestens 1,5-2 kg pro 100 kg Körpergewicht ausmachen. Nur so können die Darmbakterien optimal arbeiten und ausreichend kurzkettige Fettsäuren produzieren – die Hauptenergiequelle des Pferdes!
Die Aufgaben der Darmflora
Die Mikroorganismen im Pferdedarm erfüllen lebenswichtige Funktionen. Ohne sie wäre das Pferd nicht in der Lage, Rohfaser zu verdauen und ausreichend Energie zu gewinnen.
Rohfaserverdauung
Mikroorganismen fermentieren Zellulose und Hemizellulose aus Heu und Gras. Diese Pflanzenfasern kann das Pferd selbst nicht verdauen – ohne Darmbakterien wären sie wertlos!
Energieproduktion
Bei der Fermentation entstehen kurzkettige FettsäurenAcetat, Propionat, Butyrat – liefern bis zu 70% der Energie des Pferdes (Acetat, Propionat, Butyrat). Sie liefern bis zu 70% der Energie, die das Pferd benötigt!
Vitaminsynthese
Darmbakterien produzieren B-Vitamine (B1, B2, B6, B12) und Vitamin K. Diese "hauseigene Produktion" deckt einen erheblichen Teil des Bedarfs.
Immunabwehr
80% der Immunzellen befinden sich im Darm! Die Darmflora trainiert das Immunsystem, bildet eine Barriere und produziert antimikrobielle Substanzen.
Barrierefunktion
Eine gesunde Darmflora bildet einen "Schutzfilm" auf der Darmschleimhaut. Sie verhindert, dass Krankheitserreger die Darmwand durchdringen können.
pH-Regulation
Die produzierten Fettsäuren halten den pH-Wert im Dickdarm stabil (pH 6,5-7). Dies ist wichtig, damit die "guten" Bakterien sich wohlfühlen.
Kurzkettige Fettsäuren – Der Treibstoff des Pferdes
Bei der mikrobiellen Fermentation von Rohfaser entstehen drei wichtige kurzkettige Fettsäuren:
| Fettsäure | Anteil | Funktion |
|---|---|---|
| Acetat | 60-70% | Hauptenergiequelle, wird in Muskeln und Fettgewebe verbrannt |
| Propionat | 15-25% | Wird in der Leber zu Glukose umgewandelt (Gluconeogenese) |
| Butyrat | 10-15% | Hauptnahrung der Darmzellen, fördert Darmgesundheit |
Ein gesundes Mikrobiom produziert ein optimales Verhältnis dieser Fettsäuren. Bei Dysbiose kann sich dieses Verhältnis verschieben – mit negativen Folgen für die Gesundheit.
Die Darm-Hirn-Achse
Eine der faszinierendsten Entdeckungen der modernen Forschung: Darm und Gehirn sind über ein komplexes Kommunikationsnetzwerk verbunden – die Darm-Hirn-Achse.
Der Darm als "zweites Gehirn"
Der Darm verfügt über ein eigenes Nervensystem mit über 100 Millionen Nervenzellen – mehr als das Rückenmark! Dieses "enterische Nervensystem" kann unabhängig vom Gehirn arbeiten und kommuniziert über den Nervus vagus mit dem Zentralnervensystem.
Wie kommunizieren Darm und Gehirn?
Nervus vagus
Der "Vagusnerv" ist die direkte Nervenverbindung. 90% der Signale gehen VOM Darm ZUM Gehirn – der Darm "spricht" also mehr, als er "zuhört"!
Neurotransmitter
95% des Serotonins werden im Darm produziert! Auch GABA, Dopamin und andere Botenstoffe entstehen dort. Die Darmflora beeinflusst diese Produktion maßgeblich.
Mikrobielle Metaboliten
Darmbakterien produzieren Substanzen, die ins Blut gelangen und das Gehirn beeinflussen können. Dazu gehören kurzkettige Fettsäuren und andere bioaktive Moleküle.
Immunsystem
Das darmassoziierte Immunsystem produziert Zytokine und andere Botenstoffe, die auch das Gehirn erreichen und beeinflussen können.
Was bedeutet das für Dein Pferd?
Eine gestörte Darmflora kann nicht nur Verdauungsprobleme verursachen, sondern auch:
- Verhaltensveränderungen (Nervosität, Unruhe)
- Stressempfindlichkeit
- Verändertes Wohlbefinden
- Beeinträchtigung der Leistungsbereitschaft
Fazit: Ein gesunder Darm ist die Basis für ein ausgeglichenes, zufriedenes Pferd!
Dysbiose – Wenn die Balance kippt
Dysbiose bezeichnet ein Ungleichgewicht der Darmflora – wenn das fein abgestimmte Verhältnis zwischen nützlichen und potenziell schädlichen Mikroorganismen gestört ist.
Die Darmflora ist sensibel!
Das mikrobielle Gleichgewicht im Pferdedarm kann durch verschiedene Faktoren gestört werden. Die Folgen reichen von leichten Verdauungsstörungen bis hin zu ernsthaften Gesundheitsproblemen.
Ursachen für Dysbiose
Wurmkuren
Anthelminthika (Wurmmittel) können nicht nur Parasiten, sondern auch Teile der nützlichen Darmflora beeinflussen. Die Regeneration dauert 4-8 Wochen.
Antibiotika
Antibiotika unterscheiden nicht zwischen "guten" und "schlechten" Bakterien. Eine Behandlung kann das Mikrobiom massiv stören – Regeneration braucht oft Monate.
Plötzlicher Futterwechsel
Die Darmflora braucht Zeit, sich an neues Futter anzupassen. Abrupte Wechsel können zu Fehlgärungen führen. Regel: Mindestens 7-10 Tage Umstellungszeit!
Zu wenig Raufutter
Ohne ausreichend Rohfaser "verhungern" die guten Darmbakterien. Die Folge: pH-Absenkung, Fehlgärungen, Vermehrung unerwünschter Keime.
Zu viel Kraftfutter / Stärke
Überschüssige Stärke gelangt unverdaut in den Dickdarm und führt dort zu schneller Fermentation, pH-Absturz und Milchsäurebildung – gefährlich!
Stress
Stress (Transport, Stallwechsel, Turniere) beeinflusst über die Darm-Hirn-Achse direkt das Mikrobiom. Chronischer Stress kann zu anhaltender Dysbiose führen.
Anzeichen für eine gestörte Darmflora
Verdauungssymptome
- • Kotwasser (häufigstes Symptom)
- • Weicher oder breiiger Kot
- • Durchfall
- • Blähungen, aufgegaster Bauch
- • Übelriechender Kot
Allgemeine Symptome
- • Stumpfes, glanzloses Fell
- • Gewichtsverlust trotz Futter
- • Schlechte Futterverwertung
- • Müdigkeit, Leistungsabfall
- • Anfälligkeit für Infekte
Verhaltensänderungen
- • Nervosität, Unruhe
- • Empfindlichkeit am Bauch
- • Appetitschwankungen
- • Koppen, Weben (Stereotypien)
- • Verändertes Sozialverhalten
Kotwasser – Das häufigste Symptom
Was ist Kotwasser? Wässrige Flüssigkeit, die vor, während oder nach dem Kotabsatz austritt. Der Kot selbst kann dabei normal geformt sein – im Unterschied zu Durchfall, bei dem der Kot selbst wässrig ist.
Mögliche Ursachen: Oft multifaktoriell – gestörte Darmflora, zu wenig Raufutter, zu viel Kraftfutter, Stress, Futterwechsel, Zahnprobleme, Sandansammlungen.
Wichtig: Bei anhaltendem Kotwasser immer Tierarzt konsultieren! Die Ursache sollte identifiziert werden.
Natürliche Unterstützung der Darmflora
Eine gesunde Darmflora ist die Basis für ein gesundes Pferd. Mit dem richtigen Management und gezielter Unterstützung kannst Du das Mikrobiom Deines Pferdes fördern.
Die 5 Säulen der Darmgesundheit
1. Ausreichend Raufutter
- Mindestens 1,5-2 kg Heu pro 100 kg Körpergewicht
- Heu sollte möglichst immer zur Verfügung stehen
- Qualitativ hochwertiges, schimmelfreies Heu
2. Kraftfutter mit Bedacht
- So wenig wie möglich, so viel wie nötig
- Maximal 300g Stärke pro Mahlzeit
- Kleine Portionen über den Tag verteilen
3. Langsame Futterumstellungen
- Mindestens 7-10 Tage Umstellungszeit
- Altes und neues Futter mischen
- Verhältnis täglich schrittweise ändern
4. Stressreduktion
- Stabile Herde, regelmäßige Routinen
- Ausreichend Bewegung und Sozialkontakt
- Nach Turnieren Erholungsphasen einplanen
5. Strategisches Wurmmanagement
- Nicht zu häufig entwurmen
- Selektive Entwurmung nach Kotprobe erwägen
- Nach Wurmkur: Darmflora unterstützen
Kräuter zur Unterstützung der Darmfunktion
In der traditionellen Phytotherapie werden verschiedene Kräuter zur Unterstützung der Darmfunktion eingesetzt. Zwei Wirkstoffgruppen stehen dabei im Vordergrund:
Bitterstoffe
Bitterstoffe werden in der Kräuterkunde traditionell geschätzt. Sie finden sich in Kräutern wie Andorn, Wegwarte und Schafgarbe. In der traditionellen Pflanzenheilkunde werden sie seit Jahrhunderten bei der Verdauungsunterstützung eingesetzt.
Gerbstoffe
Gerbstoffe (Tannine) haben adstringierende (zusammenziehende) Eigenschaften. Sie finden sich in Odermennig, Schafgarbe und Sanikel. Traditionell werden sie in der Kräuterkunde geschätzt.
Bewährte Darmkräuter
Wegwarte (Cichorium intybus)
Das präbiotische Kraut. Reich an InulinPräbiotikum – "Futter" für die guten Darmbakterien (bis 40% in der Wurzel). Inulin ist ein Präbiotikum – es kann als "Futter" für die nützlichen Darmbakterien dienen. Zusätzlich enthält Wegwarte wertvolle Bitterstoffe.
Andorn (Marrubium vulgare)
Das Bitterstoffkraut. Enthält bis zu 1% MarrubiinDiterpen-Bitterstoff – traditionell bei Verdauungsunterstützung eingesetzt (Diterpen-Bitterstoff). In der traditionellen Pflanzenheilkunde seit Jahrhunderten bei Verdauungsunterstützung eingesetzt. Klassisches Kraut der Phytotherapie.
Odermennig (Agrimonia eupatoria)
Das Gerbstoffkraut. Enthält bis zu 10% Gerbstoffe (Tannine) und Flavonoide. Die Gerbstoffe haben adstringierende Eigenschaften. In der Volksmedizin seit langem geschätzt. Klassisches Darmkraut der Phytotherapie.
Schafgarbe (Achillea millefolium)
Das vielseitige Verdauungskraut. Enthält ätherisches Öl (Chamazulen), Gerbstoffe und Bitterstoffe. Traditionell bei Verdauungsunterstützung eingesetzt. Vielseitiges Kraut mit breitem Einsatzspektrum.
Erdrauchkraut (Fumaria officinalis)
Das traditionelle Leberkraut. Enthält Alkaloide und Flavonoide. Traditionell zur Unterstützung der Leber eingesetzt – wichtig, da Leber und Darm eng verbunden sind (Leber-Darm-Achse).
Sanikelkraut (Sanicula europaea)
Das traditionelle Darmkraut. Enthält Saponine, Gerbstoffe und ätherische Öle. Traditionell bei Verdauungsunterstützung eingesetzt. Traditionelles Kraut der europäischen Pflanzenheilkunde.
Wann Darmkräuter einsetzen?
- Nach Wurmkuren: 4-6 Wochen zur Unterstützung der Regeneration
- Nach Antibiotika: 6-8 Wochen Unterstützung
- Bei Kotwasser: 6-8 Wochen, parallel Management optimieren
- Bei Futterumstellung: 2 Wochen vor bis 4 Wochen nach der Umstellung
- Während Fellwechsel: 4-6 Wochen (erhöhter Stoffwechselbedarf)
Bitte beachten
Kräuter zur Unterstützung der Darmfunktion sind Ergänzungsfuttermittel und ersetzen keine tierärztliche Diagnose oder Behandlung. Bei anhaltenden Verdauungsproblemen, Kotwasser oder Gewichtsverlust konsultiere bitte immer Deinen Tierarzt. Die Ursache sollte identifiziert werden!
DARMWOHL – 6 Kräuter für Darmschleimhaut & Darmflora
Unsere bewährte Kräutermischung vereint Andorn, Wegwarte, Odermennig, Schafgarbe, Erdrauch und Sanikel – zur Unterstützung der Darmfunktion, besonders nach Wurmkuren, Antibiotika oder bei Kotwasser.
Mehr über DARMWOHL erfahrenHäufig gestellte Fragen
Was ist die Darmflora beim Pferd?
Die Darmflora (auch Mikrobiom genannt) ist die Gesamtheit aller Mikroorganismen im Pferdedarm – Billionen von Bakterien, Pilzen, Hefen und anderen Mikroben. Sie bilden ein komplexes Ökosystem, das für die Verdauung von Rohfaser, die Produktion von Vitaminen, die Energiegewinnung und die Immunabwehr unverzichtbar ist. Etwa 80% des Immunsystems sind im Darm lokalisiert.
Was ist Dysbiose beim Pferd?
Dysbiose bezeichnet ein Ungleichgewicht der Darmflora – wenn das Verhältnis zwischen nützlichen und potenziell schädlichen Mikroorganismen gestört ist. Ursachen können Wurmkuren, Antibiotika, Stress, plötzlicher Futterwechsel oder zu wenig Raufutter sein. Mögliche Folgen sind Kotwasser, weicher Kot, Blähungen, schlechte Futterverwertung oder Verhaltensänderungen.
Was ist die Darm-Hirn-Achse beim Pferd?
Die Darm-Hirn-Achse ist die bidirektionale Kommunikation zwischen Darm und Gehirn über den Nervus vagus. 90% der Signale gehen vom Darm zum Gehirn. Zudem werden 95% des Serotonins im Darm produziert. Eine gestörte Darmflora kann daher nicht nur die Verdauung, sondern auch das Wohlbefinden und Verhalten des Pferdes beeinflussen.
Wie lange dauert die Regeneration der Darmflora nach einer Wurmkur?
Die Regeneration der Darmflora nach einer Wurmkur dauert typischerweise 4-8 Wochen. In dieser Zeit kann es zu weichem Kot oder Kotwasser kommen. Eine gezielte Unterstützung mit präbiotischen Substanzen und traditionellen Darmkräutern kann die Regeneration fördern. Wichtig ist auch ausreichend Raufutter als Nahrungsgrundlage für die Darmbakterien.
Welche Kräuter unterstützen die Darmflora beim Pferd?
In der traditionellen Phytotherapie werden verschiedene Kräuter zur Unterstützung der Darmfunktion eingesetzt: Wegwarte (reich an Inulin als Präbiotikum), Andorn (Bitterstoffe), Odermennig und Schafgarbe (Gerbstoffe), sowie Erdrauch und Sanikel als traditionelle Verdauungskräuter. Bitterstoffe und Gerbstoffe werden in der Kräuterkunde traditionell geschätzt.
Wie erkenne ich Probleme mit der Darmflora bei meinem Pferd?
Mögliche Anzeichen für eine gestörte Darmflora können sein: Kotwasser (wässrige Flüssigkeit vor/nach dem Kotabsatz), weicher oder breiiger Kot, Blähungen, Futterunverträglichkeiten, stumpfes Fell, Gewichtsverlust trotz ausreichend Futter oder Verhaltensänderungen. Bei anhaltenden Symptomen sollte immer ein Tierarzt konsultiert werden.